Aster Hospital Mankhool Successfully Removes 3cm Fish Bone From Woman's Thyroid
"Fish bones lodged in the throat can quickly escalate to serious complications if not promptly addressed," emphasizes Dr. Deepak Janardhan, E.N.T, Head & Neck Surgery Specialist at Aster Hospital Mankhool. His recent case is a testament to this warning. Aster Hospital Mankhool, ranked No. 5 on Newsweek's World's Best Hospitals in the UAE list, recently performed a rare and intricate surgery to remove a 3cm fish bone lodged in the thyroid lobe of a 48-year-old Indian woman.
The patient was admitted to the Emergency Room on January 15, 2024, presenting with mild throat irritation, minimal pain while swallowing, and localized neck pain on the lower right side. These symptoms followed the ingestion of fish a few days prior, which initially caused discomfort that subsided, only for neck pain to resurface a week later.

Understanding the Risks
While fish bones getting lodged in the throat is not uncommon, their migration to the thyroid gland is exceedingly rare. This migration can lead to local infections, abscess formation, or even more severe complications if the bone moves to adjacent large blood vessels, causing tears and other serious injuries.
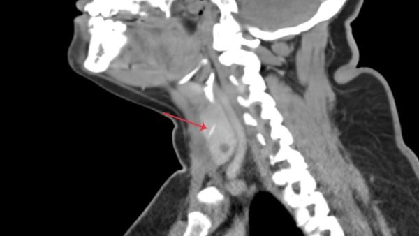
Initial examinations using a laryngopharyngoscope revealed no visible foreign body. However, a subsequent sonogram identified a suspicious linear object, leading to her referral to Aster Hospital Mankhool. A CT scan with contrast confirmed the presence of a 3cm fish bone embedded in the right thyroid lobe, penetrating the strap muscle.
The Surgical Intervention
Under the expert care of Dr. Deepak Janardhan and Dr. Bharath Rao, E.N.T specialists at Aster Hospital Mankhool, the patient underwent a meticulously planned surgery. Performed under general anesthesia, the procedure involved the precise extraction of the fish bone and careful closure of the wound.
"Fish bones lodged in the throat can quickly escalate to serious complications if not promptly addressed," emphasizes Dr. Janardhan. This case was extraordinary due to the bone's migration to the thyroid gland—a rare and alarming occurrence. "This case underscores the critical need for comprehensive evaluation in managing foreign body ingestions."
Insights from Specialists
Dr. Rao explains, "Timely detection and intervention in this case helped the patient achieve faster recovery without complications." The rarity of this case lies in the fish bone's unusual journey from the esophagus to the thyroid gland, highlighting the importance of prompt and accurate medical response.
Dr. Janardhan and Dr. Rao emphasize the significance of heeding symptoms and seeking immediate medical attention for any persistent discomfort following ingestion of foreign objects. "Our approach involved careful planning and precise surgery to completely remove the fish bone and ensure optimal recovery," notes Dr. Rao.
Aster DM Healthcare: A Legacy of Excellence
Founded in 1987 by Dr. Azad Moopen, Aster DM Healthcare is a leading integrated healthcare provider with a significant presence across all six countries in the GCC. Aster's vision of providing accessible and high-quality healthcare is embodied in its promise: "We will treat you well." The organization operates 16 hospitals, 117 clinics, and 285 pharmacies across GCC countries.
The successful removal of the fish bone from this patient's thyroid at Aster Hospital Mankhool underscores timely medical intervention's importance and advanced surgical expertise's role. This case serves as a reminder of seemingly minor medical issues' complexities and potential dangers.
Their combined expertise and advanced technology at Aster Hospital Mankhool allowed them to manage this complex case effectively. "Aster Hospital Mankhool has advanced technology and highly skilled specialists allowing us to handle such cases effectively," says Dr. Rao.
With myAster app launch, Aster DM Healthcare adapts to evolving patient needs ensuring access through physical and digital channels. The dedicated team includes 1,673 doctors and 3,692 nurses committed to delivering world-class healthcare services across various specialties.